Arthritis and arthrosis are diseases of the musculoskeletal system with common characteristics.Each of these diseases causes irreparable health damage, and if they do not seek medical help in time, irreversible consequences can occur, which leads to disabilities and disabilities.
In this article we take into account what the difference between arthritis and arthrosis, the causes and the mechanism of its development as well as symptoms and treatment.
Causes of arthritis and arthrosis
Under the main causes of arthritis, they differentiate:
- The rheumatoid causes of an autoimmunity in which the body cells begin to attack their own tissue and to consider them as strange.The reasons for this process have not yet been clarified;
- infectious (tuberculosis, tick -borne borreliosis);
- Secondary in which arthritis develops against the background of other diseases (systemic lupus erythematosus, psoriasis);
- Violation of the metabolism (gout).

The reasons for arthrosis are as follows:
- Congenital developmental disorders (common dysplasia);
- Injuries;
- natural processes of aging of the body;
- Metabolic injury, hormonal changes (menopause in women);
- excessive physical activity, including professional sports, monotonous work (from sailor quarrels);
- Secondary (arthrosis can develop due to arthritis).
Physiological processes
Both pathologies influence the joints, but differ in the type of changes.
With arthritis
Arthritis is an inflammation of the connective tissue - a synovial membrane that contains many vessels and delivers lymphatic current.The inflammatory process leads to a violation of the diet of joint tissues, the production of joint lubrication - synovial fluid is limited.
Osteoarthritis
Osteoarthritis is a degenerative-dystrophic process associated with the destruction of the cartilage tissue of the joint.The cartilage is gradually destroyed, dry, the distance between the articular bones decreases, which is the cause of pain.The destruction influences bones in severe forms.They become porous, lose their density, become fragile.
What is the difference?
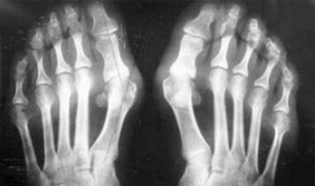
For example, what is the difference between arthritis and arthrosis of the knee joint?In arthritis, the synovial shell of joint tissues occurs.This leads to an increase in the temperature in the joint.
The joint swells, a persistent pain syndrome develops and increases during movement.In the case of osteoarthritis, the pain only occurs after physical activity, you can hear a characteristic crunch or clicks in the joint, the joint is gradually deformed and loses mobility.
The difference between arthritis and arthrosis of the fingers and hands of the hands is that the first disease healed and the second is not.In arthritis, the synovial bowl and the capsule of the joint are touched.
The cartilage and the bone tissue are defeated only in the late stages in a neglected state.With osteoarthritis, the cartilage tissue is first affected, and then the inflammation of the synovial membrane is a secondary origin, i.e. against its background.
Symptoms: What is the difference between arthritis and arthrosis
Arthritis is accompanied by symptoms that are characteristic of inflammation:
- The body temperature rises, chills, weakness occurs throughout the body;
- The local temperature of the affected joint, its soft tissue increases;
- The joint swells, the skin flushes around them;
- Joint deformation occurs;
- Its mobility is reduced;
- In the morning the stiffness is observed that takes place within an hour after physical activity.
- Pain syndrome is available in both movement and calm;
- Complications are observed in the form of lesions of internal organs (heart, lungs);
- Increased sweating occurs;
- The body weight is reduced.
Osteoarthritis gradually develops and is not strange in the early stages.It is often taken for physical tiredness.The chronic form of arthrosis is also referred to as osteoarthrosis.The answer is obvious about what is worse - osteoarthritis or osteoarthritis.The last option is a result of the development of osteoarthritis and its acute form.
The following are differentiated under the symptoms of arthrosis:
- After physical activity, pain occurs with sudden movements, curves, inclinations, after calm, pain;
- A characteristic crisis in the joints has been determined;
- The pain after a long calm, which runs within 15 to 20 minutes of mobility (this is associated with the stagnant phenomena that occur in the joint);
- worried about night pain that occurs through venous stagnation;
- The inflammatory form of pathology is accompanied by edema and pain;
- The connection is deformed, its mobility decreases.

As you can see, the differences in the symptoms are insignificant: in both cases there is pain, stiffness and tiredness.Arthritis and arthrosis can affect different joints in the human body.Osteochondrosis develops with damage to spine and intervertebral discs - it resembles osteoarthritis.Depending on the disease, the osteoarthritis of the ankle, the shoulder, the hip joints, etc. is differentiated.
Details on symptoms and differential diagnostics help to determine the pathology - arthritis or arthrosis.
The difference in treatment
The treatment of arthritis aims to restore the immune system is to eliminate inflammation.In the case of osteoarthritis, the main task is to prevent the destruction of the tissue and the relief of symptoms.
The treatment of osteoarthritis is involved in an orthopedic doctor, arthritis a-rheumatologist and a number of other doctors, depending on the origin of the disease.
The main therapy for arthritis includes the use of anti -inflammatory non -hormonal active ingredients, antibiotics therapy and in severe cases -hormonal therapy and intake of immunosuppressants.
In anti -inflammatory, pain relievers, hormonal medication, venotonics and chondroprotectors are used with osteoarthritis.
In both cases, the diseased joint is delivered from rest, the load is reduced, and therapeutic gymnastics and physiotherapy are used to restore.
Therapeutic gymnastics influences the improvement of the condition of the ligaments and joints and develops their flexibility and mobility.It must be taken into account that exercises can only be carried out during the remission period and in the absence of inflammation.A complex of orthopedic or a physiotherapy specialist can choose a number of exercises, depending on which joint was injured.
It is very important to observe the correct implementation technology so as not to damage the joints.All movements should be slow and smooth.The execution of the exercises should not cause any complaints and bring pain, otherwise the lesson should be stopped or moved to a different kind of exercise.In the beginning, it is better to carry out exercises under the supervision of a doctor and then take them into daily practice at home.

In order to facilitate the mobility of the joints, special orthopedic means are used: compression cridities, corsets, cervix collar and other accessories, depending on the damage zone.
In both cases, physiotherapy is useful, with arthritis, it is only carried out during the remission period.It has a minimum of contraindications and side effects, does not cause allergic reactions and is suitable for most patients.
The methods of electrophoresis, ultrasound, phonophoresis, magnetotherapy, shock wave therapy and cryotherapy are used.
Everyone has a positive effect on the recovery process, contribute to a deeper penetration of drugs in tissue, improve blood circulation, lymph flow, the metabolic processes and start natural regeneration processes.
In severe cases, the joints are carried out in full destruction an endoprosthetic operation or a complete exchange of the joint.
Traditional medicine in the treatment of osteoarthritis and arthritis
When using folk remedies in the treatment of arthritis and arthrosis, the stage of the disease and the risk of allergic reactions should be taken into account, so a doctor must consult before they are used.In arthritis, the use of additional non -traditional treatment products is only permitted during remission.This is due to the autoimmunity of the disease.
Decocements and tinctures are used as therapeutic active ingredients that relieve inflammation, applications and baths that alleviate swelling, garbage and ointments.Prevention and treatment with folk remedies should play a tool rather than a main task.This should always be taken into account in such serious diseases.
Snow with salt is used for osteoarthritis.A glass of snow is mixed with 1 tablespoon of salt, a painful joint is rubbed with a mixture for 5 minutes.
In order to restore the cartilage tissue for arthritis and arthrosis, tinctures of chamomile, needles and aloe are used.The mixture can be added to the baths for hand or applications.
Animal fats are mixed as ointments: Duffled Pork Lard, roof fat, chip worm.They are mixed with a calendula or a ditch.They contribute to pain relief, to improve nutrition and reduce inflammation.
Compress from fresh leaves.A leaf burdock or cabbage is lubricated with honey, on the painful joint, covered with polyethylene and warm tissue and left overnight.

Tone is mixed with water into the density of the acid cream, impregnated with a mixture and left for an hour.It is necessary to repeat the application a day within two weeks.
In equal parts you can mix aloe juice, vodka and honey.To impregnate a gauze with this mixture and attach it to a painful point for 1 hour.
Chamomils, Hops, St. John's Wurt and Petroleum Jelle are mixed as ointment.Apply daily for a month.
Two tablespoons of crushed Celandine are added to 150 ml of vegetable oil (olive, sesame, hemp and others), brewed for a week and used as ointment.
Freshly pressed aloe juice is taken 4 times a day in 2 teaspoons.
Two tablespoons of St. John's Wurt and Wormwood pour 1 liter of boiling water, let it brew it for 10-15 minutes and take 1 tablespoon.
Dandelion flowers are poured with vodka in a ratio of 1 part of a dandelion + 2 parts of the liquid, 2 weeks exist and used for garbage.
What is the difference between osteochondrosis and arthrosis
These concepts are similar.Both osteochondrosis and osteoarthrosis are accompanied by the destruction of the cartilage tissue of the joints.In the case of osteochondrosis, the joints of the spine, the intervertebral discs are affected, and in arthrosis - the joints of the limbs.
prevention
In order to prevent the development of common illnesses, they must be informed about risk factors.This includes:
- the processes of aging the body, exhaustion and deterioration in tissue nutrition;
- A sitting lifestyle provokes the appearance of stagnating phenomena, a violation of blood circulation, the lymph flow, the curvature of the spine;
- Excess weight is accompanied by a violation of the metabolism in hormonal and endocrine systems, an overload of the spine, joints and the heart.

For prevention, it is necessary to introduce the following recommendations into everyday matters.Wonderful sports and soft types of fitness have a good impact on the condition and maintenance of joints, ligaments and spine.
Enough two to three times a week to prevent the development of stagnating phenomena and to improve the well-being of the total.
For the body's nutritional cells, it is necessary to diversify your diet with products that are rich in polyunsaturated fatty acids, vitamins B and PP.It is necessary to consume grain, vegetables and fruit, whole grain products, low -fat meat with low fat meat and reduce the use of products that contain harmful carcinogenic substances, fried, raw, salty and acute dishes.
To make the right food habits and diets, you can consult a nutritionist.
The psychosomatic nature of the diseases described suggests that it is necessary to avoid stress, to solve conflict situations in a constructive way and not to succumb to despair and depression.
Diploma
Arthritis and arthrosis are fairly serious human diseases, which leads to serious irreversible consequences.The hidden nature of the development of osteoarthritis does not allow them to identify them in the early stages.Therefore, it is very important to be aware of your health, not to wait until the pain “runs” and strives for medical help in time.




















